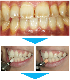
審美歯科
~歯石取りの後の機械を使ったクリーニング~
歯の表面は凸凹ザラザラ
              PMTCでツルツルの歯に!
              PMTCのクリーニングはこんな方にオススメです
- むし歯を予防したい方に
- はぐきから血が出る方に
- 歯周病を予防したい方に
- 歯がグラグラする方に
- 白い歯になりたい方に
- 口臭を改善したい方に
- ステインをスッキリ落としたい方に
歯のメンテナンスのプロフェッショナル
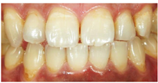
PMTCってどんなことをするの?
|   | PMTC前歯の表面に付いているのは | 
|   | PMTC後 | 
歯科衛生士オススメPMTCは魅力たっぷり!
- 歯ブラシでは取りきれない歯のすみずみ、更には歯茎の中まで磨きあげます! ![歯ブラシでは取りきれない歯のすみずみ、更には歯茎の中まで磨きあげます!]()  
- 歯がツルツルになることで、むし歯、歯周病の原因であるバイオフィルムが付きにくくなります! ![歯がツルツルになることで、むし歯、歯周病の原因であるバイオフィルムが付きにくくなります!]()  
- 歯の汚れを徹底除去!できるので口の中のスッキリ感が持続します! ![歯の汚れを徹底除去!できるので口の中のスッキリ感が持続します!]()  
- PMTCの最後に、歯のミクロの傷を埋めるトリートメントをします。 
 トリートメントで歯の表面がツヤツヤになります![PMTCの最後に、歯のミクロの傷を埋めるトリートメントをします。トリートメントで歯の表面がツヤツヤになります]()  
- 歯ぐきの炎症を抑える効果があるので、口腔から体内への細菌の侵入をブロック! 
 全身の病気の予防にも効果的です。![歯ぐきの炎症を抑える効果があるので、口腔から体内への細菌の侵入をブロック!全身の病気の予防にも効果的です。]()  - 歯茎の炎症は、細菌が体の中に入り込む原因です。炎症部から心臓に送られた口腔内の細菌は心臓から全身に送られ、内科の病気を引き起こしたり現在かかっている病気を悪化させたり、改善の妨げになります。 
ホワイトニング
ポリリン酸ホワイトニングは、白さはもちろん輝くツヤのある歯が手に入ります。 ※効果は個人差があります。
今、歯科業界注目の「ポリリン酸ホワイトニング」
従来のホワイトニングとどこが違うの?
- 透明感のある自然な仕上がりで、白さは従来品の約3倍
- 施術時間はたったの30分
- 歯をコーティングするから、知覚過敏や痛みを感じにくい
- 施術後すぐでもカレー、コーヒーなどの飲食、タバコもOK
- タバコやコーヒー・ワインなど、着色しにくい
                 
              
オフィスホワイトニング
即効性・短時間・簡単!
医院で行うホワイトニング。施術後、その場で白さを実感!
ホワイトニング剤を塗布した歯に光を照射して行います
(所要時間:30分)。
回数を重ねるごとに白さの段階も上がっていきます。
オフィスホワイトニングの効果
ホワイトニング剤「ポリリン酸Na」は、食品添加物としても認められている成分で、安全性も保証されています。歯をコーティングするから、痛みもなく、着色しにくく、透明感がでます。
回数を重ねるごとに白くなります!
|  |  | 
|---|---|
|  |  | 
|  |  | 
ホームホワイトニング 1日たったの8分間!!
ホームホワイトニング
ポリリン効果と美白プラチナ効果で輝く美しい歯がご自宅で手に入れられます。
- 
                    マウスピースにライトを取り付けるカスタムトレーにヒートプレートを装着します。 
- 
                    ホワイトニング剤をトレーに塗る専用のトレーにホワイトニング剤を入れます。 
- 
                    1日2回までのホワイトニング毎日8分間ホワイトニングを行います。(ライトは自動で消えます。) 
セレック
セレック治療は最短1時間で、あなたの願いを叶えます。
 
              さまざまな歯の色に対応し、隣接歯に良く馴染むセレックセラミックは、審美性が高いのはもちろん、咬み心地や舌触りなど、質感も天然歯に近い自然な感触です。
セレックとは
 
                「銀歯は金属アレルギーが心配」「目立つ金歯をどうにかしたい」…
そういったお悩みを解決するのがセレック治療。天然歯に近い色、質感を持つセラミックブロックを使用し、コンピュータの3D画面で修復物を設計・加工します。
- 
                  通院1日!最短1時間での治療完了を実現!先進のコンピュータシステムでの設計・加工により、大幅に時間を短縮。 
 手作業の際に起こるひずみもなく、その場で設計・加工するため、よりあなたの歯の形にあった物が作成できます。
- 
                  安心・安全、体にやさしい!しかも虫歯になりにくく、長持ち!生体親和性の高いセラミックは、変色や摩耗がなく、金属アレルギーの心配がない体にやさしい素材です。10年間で90%以上の残存率(※)を実現する優れた耐久性を誇ります。※詰め物・かぶせ物をした部分が、虫歯になっていない、欠けたり外れたりしていない状態 
- 
                  低価格なのに、見た目もよりキレイ!セレックの詰め物や被せ物は、価格が従来のセラミック治療より、断然お得!!「見た目をキレイにしたいけど、値段が気になって…」、そんなあなたに、セレックはどの修復物よりもおすすめです。 
セレックQ&A
- なぜ、セラミックがいいのですか?
- レジン(プラスチック)と比べ、着色や変色、摩耗といった心配が少なく、金属と比べても、プラークが付きにくく、金属アレルギーの心配がありません。
- どんな症状でもセレック治療は可能ですか?
- 一般的な詰め物、かぶせ物が可能です。虫歯の大きさや噛み合わせなど、お口の状態により適切な治療法を検討しますので、お気軽にご相談ください。
- 本当に通院が1日(最短1時間)で、治療が完了するのでしょうか?
- 虫歯の大きさ、歯ぐき・神経の状態により、他の治療を先に行う必要がある場合は、その日にセレック治療が行えないことがあります。
 また、セレック治療を行う箇所が複雑かつ複数の場合や特殊な色付け加工が必要な場合には、1時間以上かかることもあります。
治療から完了まで
- 
                  口腔内を撮影(型取り)治療する歯を削った後、3D光学カメラで数秒間、撮影します。 
- 
                  修復物設計コンピュータの3D画面上で、修復物を設計。微調整しながら理想の形にした後、セラミックブロックから、最も適した色のブロックを選びます。 
- 
                  修復物作製設計データを元に、修復物を加工・作製します。 
- 
                  詰め物・かぶせ物患者さまの歯の状態やご希望に合わせて、最適な素材を選択いたします。 
 保険が適用されるものと自費のものとがありますが、より高い審美性・機能性を追求したい患者さまには、自費の素材がおすすめです。
詰め物
ラミネートベニア (前歯用)
- 前歯の表面にセラミックを貼付けたもの
- 歯を削る量が少ない
- 変色しない
 
                    ※隙っ歯の改善、表面だけの治療が必要なときに適した前歯用の詰め物です。
セラミックインレー (陶材)
- 天然歯と変わらない美しい艶
- 丈夫で変色しない
- 金属アレルギーの心配がない
 
                    ゴールドインレー (白金加金)
- 歯と適合性が良く、虫歯予防に適している
- 噛み合う歯を傷つけない
- 金属アレルギーが起こりにくい
 
                    セレックインレー (陶材)
- 歯との適合性が良く、虫歯予防に適している
- 即日の治療が可能
- 白い歯を際限
 
                    かぶせ物
ジルコニアクラウン
- ダイヤモンドに近い強度 ⇒ 欠ける恐れが非常に少ない
- 天然歯と変わらない色調
- 金属アレルギーの心配なし
 
                    オールセラミック (陶材)
- 天然歯と変わらない色調
- 変色しない
- 金属アレルギーの心配がない
 
                    マージンポーセレン
- 金属に陶材を焼き付けたもの
- 天然歯に近い色調、変色しない
- 歯茎のきわが美しく保たれる
 
                    メタルボンド
- 金属に陶材を焼き付けたもの
- 天然歯に近い色調
- 変色しない
 
                    ゴールドクラウン (白金加金)
- 歯と適合性が良い
- 金属アレルギーが起こりにくい
- 噛み合う歯を傷つけない
 
                    セレッククラウン (陶材)
- 歯との適合性が良く、予防効果が非常に高い
- 即日の治療が可能
- 白い歯を再現
 
                     
													 
								 
				 
				 
 
               
               
               
              