MFT 口腔筋機能療法

MFT(口腔筋機能療法)

女性必見!?あなたは口元美人? 舌癖があるかチェックしてみましょう。

MFT(口腔筋機能療法)Before After              

MFTは近年メディアでも注目度が高く、当院が取材を受け、TVで紹介されました。
顔の1/3を占める口元は、相手から見て印象を左右する重要なパーツです。女性であれば、アイメイクやチークで素敵に演出しても口元美人度が低ければ、
そのメイクの効果も一気にダウンしてしまいます。さらには、ほうれい線や顎のたるみなど老け顔の道へ、ぐんぐん進んでしまう要因にもなります。

口元美人度を診断してみましょう!

お子さんがいらっしゃる方は、ぜひお子さんの口元も一緒にチェックしてみてください。
口元美人の分かれ道は0歳から始まっています!ひとつでも当てはまると、口元で損をする大きなキケン信号!

  • よく口が開いている
  • 喋るときにツバが飛ぶ
  • サプリメントや錠剤が飲み込みにくい
  • 鼻が詰まっていることが多い
  • 「キ、シ、チ、ツ、ケ」の発音が悪い
  • ほうれい線が同じ年の人と比べて濃い
  • 寝るときに口呼吸をしている
  • 口角が下がっている
  • 食事をすると歯と唇の間によく物が入る
  • 出っ歯である
  • 舌が大きい気がする
  • サ行、タ行、ラ行の発音が悪い
  • 八重歯がある
  • 顔の輪郭が左右で違う
  • 表情が薄い
  • くちゃくちゃ音を立てて食べる
  • アトピー、アレルギーで肌が荒れている
  • 唇が荒れている
  • 顎のたるみが気になる
  • カゼをひきやすい
  • うけ口である
  • 姿勢が悪い
  • すきっ歯である
  • 口を閉じただけであごの中央に梅干し状のシワができる
  • 舌が普段、歯に触れている
           

いくつ当てはまりましたか?チェックがひとつでもあった方は、人間が本来もっている「正しい口元の機能」が失われている状態です。

正しい口元の機能とは?

次の4つがうまくいっていると「口元美人」!
老けにくく、口角がグっと上がる女優スマイルができて、歯並びも姿勢もよく、カゼをひきにくい健康美人の口元なのです。

  • 舌はいつも上あごに軽く触れている(喋るとき、食べるとき以外)
  • いつも口は軽く閉じている
  • 軽く閉じた口の中で、歯は上下が触れない程度に開きリラックスしている
  • 舌の力で正しく嚥下(飲み込み)ができる
正しい嚥下 舌が上下に動きます 異常な嚥下 舌が前後に動きます

口元美人の仕組み

口元が正しい機能 ⇒ 体のバランスが整い、姿勢がよい

人間の頭は成人で5kg、子どもで3kg。その重い頭を支えるのは首です。口の中で、いつも舌が上顎に収まっていて口を閉じている人は、頭の前後の重さのバランスがとれます。

それに対して、舌が上顎以外に触れている人や口が開いている人は、後頭部よりも顔面の方が重みを持ち、バランスを崩します。5kgの頭を首が負担する状態になります。頭や首や肩が負担を抱えると、そのアンバランスな部分を体のどこかがカバーしようとさらにバランスを崩していきます。

舌の位置が正しい ⇒ 歯並びがきれい

舌の位置が正しい→歯並びがきれい

先の口元美人度診断で、歯並びについての項目にチェックされた方は、舌が上顎に収まっていなかったことが原因です。最新の医療現場では、歯並びは遺伝ではないとされています。きれいな歯並びのアーチ、実はこれは舌の形なのです。

舌が上顎にいない状態で成長期を過ごした状態

子どもの頃から、いつも舌が正しい位置(上顎)にあった方は、永久歯に生え変わるときに、生えてきた歯が舌の周りを囲むように生えてくるので上図のようなきれいなアーチ状の歯並びになります。このきれいな歯並びで毎日食事をすると、下の顎も成長が促され、上の歯同様にきれいな歯並びになります。反対に、舌の位置が異常なまま成長期を過ごしてしまうと、上顎に舌がいないせいで、生えてきた永久歯は頬や唇などの筋肉に押されて自由な位置に生えてきます。

口をいつも閉じている ⇒ 保湿され、唾液のパワーで虫歯、歯周病を防ぐことができる

口は閉じているかな?

虫歯や歯周病の大きな原因として「口の乾燥」が挙げられます。唾液には自浄作用といって、唾液の中に含まれる抗菌成分で口の中の細菌から感染を防いだり、歯についた汚れをふやかしてハミガキで落としやすい状態をつくるとても大事なバリア機能があります。この自浄作用で、口臭もバッチリ防いでくれます。口が臭う人の特徴として、一番大きな原因は口呼吸です。いつも口を閉じている人は、このバリア機能をフル活用しているので虫歯、歯周病に感染しにくいのです。銀歯のない、きれいな歯は美人の特徴ですよね!

口を閉じて鼻呼吸をしている ⇒ カゼをひきにくい

鼻で息してるかな?

鼻から入ってきた空気は、鼻の奥にある副鼻腔という場所を通って外気の中の細菌やウィルスを殺菌し、100%加湿したきれいな空気を体に届けます。それに対し口呼吸は、細菌やウィルスをダイレクトに体の中に取り込んでしまいます。口呼吸を鼻呼吸に変えると、アレルギーや花粉症が治る! と説いているドクターも大勢いらっしゃいます。

滑舌がよい、発音美人

発音とは、舌や口の周りの筋肉を使って音を出します。舌が正しい位置にある人は、バランスの取れた筋肉を持っているのでハキハキとクリアな発音ができます。しかし、舌の位置が悪い人、口周りの筋肉のバランスが悪い人は筋肉がゆるんでいるため、滑舌が悪くなる原因となります。

口周りの筋肉が引き締まり若々しい

舌が上顎より下に落ちている、口がぽかんと開いている人は、口周りの筋肉がたるんだ状態です。表情筋をあまり使わずに毎日を過ごしてしまう原因にもなります。ご存知の通り、筋肉は使わないと衰えていくのでほうれい線や、顎のたるみは、日々の舌の位置、口を閉じているかどうかが、高価な美容液よりもはるかに重要な若返りポイントなのです。

現代では、ほとんどの人が正しい舌の位置、口周りのバランスがとれておらず、口元で損をしています。お顔の大切なパーツである口元、そして、生きるために欠かせない酸素と食べ物の入り口である口元から、美と健康が作られます。ぜひ当院で、私たち専門スタッフと一緒に、口元美人度アップに取り組みませんか。

気になる口元のMFT(口の周りのバランスを整える)トレーニング

長年にわたってついた舌癖を、口の周りのバランスを整えるトレーニングで改善。正しい舌の使い方が自然にできるようになるまでには、早くても半年、状態によっては2~3年かかることがあります。初めは2週間に1回の来院ですが、状態を見て1~3カ月ごとの来院へと移行していきます。
※期間は患者さまにより異なります。

  • 診断(医院)

    どんな舌癖があるのか、診断(30分程度)します。

  • トレーニングの練習(医院)

    トレーニングの練習 トレーニングの練習

    数十種類のトレーニングの中から、状態に合ったものを選び、一緒に練習します。

  • ご自宅でのトレーニング(ご自宅)

    ご自宅で1日3回、トレーニングを行なっていただきます。

  • 改善具合をチェック(医院)

    2週間後、トレーニングの効果や舌癖の改善具合をチェックします。新しいトレーニングを練習。

  • ご自宅でのトレーニング(ご自宅)

    ご自宅で1日3回、トレーニングを行なっていただきます。STEP4、5を繰り返します(来院時期は状態により異なります。)

事例症例

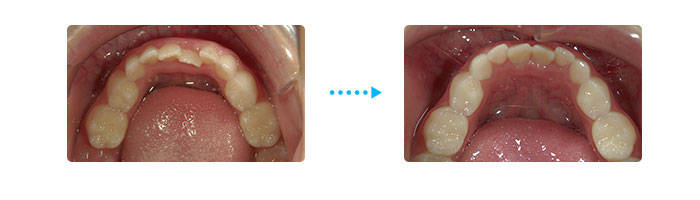
期間7カ月
状態:MFTの歯列への効果  下の前歯のガタガタが改善

期間7カ月 状態:MFTの歯列への効果 下の前歯のガタガタが改善

期間7カ月
状態:MFTの歯列への効果  下の前歯のガタガタが改善

期間7カ月 状態:MFTの歯列への効果 下の前歯のガタガタが改善

           

姿勢改善のトレーニング

きれいな歯並びを育てるための筋肉トレーニング

             

 歯並びを維持するために重要なのが正しい姿勢です。
 なんごうや歯科では、MFTの中に姿勢改善のためのトレーニングを取り入れています。