なんごうや歯科医院の矯正歯科
矯正治療とは、矯正装置を使って歯並びや噛み合わせを改善する治療です。
子供から大人まで、年齢にあった治療方法を選択し、徐々に歯を動かして正しい位置へと導いていきます。
顎に合った正しい歯並びになると、全身の歪みが改善されて頭痛・肩こりが改善したり、歯と歯の重なりや隙間がなくなることでセルフケアがしやすくなり、虫歯や歯周病の予防効果もあるなど、さまざまな良い影響があります。見た目を改善したい方だけでなく、話しづらい、噛みづらい、歯磨きがしづらいなどのお悩みがある方はぜひご相談ください。
こどものマウスピース矯正
1日1回以上のえがお筋トレーニング(口の周りの筋肉トレーニング)に加えて、夜寝るときに専用のマウスピースを付けていただくだけの簡単矯正治療です。
2~14歳(歯や顎の成長具合により多少前後します)のお子さんが対象です。
※低年齢(5〜6歳)で始めると、より効果が表れます。
こども矯正Q&A
-
こども矯正って?
-
美しい歯並びと、元気で健康な体づくりのための矯正方法です。歯が並ぶスペースを確保するために、顎を正常に成長させ、歯並びがきれいになるのはもちろん、内科医が病気の原因と指摘する“口呼吸”から“鼻呼吸”へ変えることや、呼吸と密接に関連している“姿勢”を正すこともできます。
| 口呼吸 | 口で呼吸をする人の顔の形と口元 | ![]() |
☓ |
|---|---|---|---|
| 鼻呼吸 | 鼻で呼吸をする人の顔の形と口元 | ![]() |
◯ |
-
どうして永久歯が生え揃う前に矯正するの?
-
お子さんに本来備わっている「成長する力」を利用して、きれいな歯並びをつくるのがこども矯正の特長です。身長が伸びるように、乳歯から永久歯へと生え変わる時期には歯が並ぶスペースである「顎」も成長します。
しかし、この時期に顎がしっかり成長しないと、顎が狭いままで永久歯がきれいに並びきらず、将来的に出っ歯やすきっ歯など、ガタガタした歯並びになってしまいます。それゆえ、永久歯が生え揃う前に始めることが効果的なのです。
|
顎を正しく成長させるために重要なのは、舌の位置です。舌が上顎に収まっていることで常に軽い圧力がかかり、顎が成長します。その舌の周りを囲うように歯が生え揃うと、きれいなアーチ状の歯列が完成するのです。 |
歯並びに最も重要な「舌の位置」を悪くする原因・特徴
- 指をしゃぶる
- 唇を噛む
- 頬杖をつく
- 爪を噛む
- 鼻ではなく口で呼吸する
- 姿勢が悪い
- 扁桃腺が肥大している
- 寝ているときに口が開いている
- 普段口が開いていることが多い
- 鼻がつまりやすい
- 上唇の形が山の形をしている
- 上を向いて寝られない
- 唇を噛む、なめる、吸うクセがある
- 飲み込むときに口角やアゴにシワが寄る
- 飲み込むときにうなずく
- 足のつかない椅子で食事をしている
- テレビを見ながらご飯を食べる
- しかもテレビは正面に置いていない
- 食べるときよくパパ、ママのひざの上で食べる
- 食べ物を歯の前の方で噛んでいる(奥歯で噛んでいない)
- 食べるときに口を開けてクチャクチャ食べる
- 噛むときに左右どちらか片方の歯を噛んでいる
- ベロを出すとハート型になる
こども矯正による矯正
お子さんの将来を考えたとき、歯並びの美しさはもちろんですが、当院ではそれ以上に「健康であること」を大切に考えています。
こども矯正は単なる小児矯正ではなく、お子さんの健康を生涯にわたってサポートするための矯正方法です。お子さんの健やかな成長を考えて、こども矯正をおすすめしています。
機能
- 滑舌がよくなり、発声・発音がしやすくなる
- 深い呼吸ができ、脳が活性化する
- 歯磨きしやすくなり、
虫歯や歯周病になりにくくなる - 噛み砕く力が高まり、
消化器官に負担がかかりにくくなる - 噛み合わせの悪さからくる偏頭痛や肩凝りが
起こりにくくなる - 脱!口呼吸で風邪に対する抵抗力がアップする
- 噛み合わせがよいので、スポーツでより力を
発揮できる
見た目
- 歯並びがきれいになり、印象がよくなる
- 笑顔に自信が持てるようになる
- 姿勢がよくなる
- 見た目のコンプレックスが解消できる
- 体の歪みがなくなり、全身のバランスがよくなる
事例紹介
CASE1 3歳の男の子の逆になった噛み合わせ(反対咬合)が改善した例
期間:11ヶ月
CASE2 出っ歯、八重歯が改善した例
期間:1年6カ月
CASE3 上の歯がガタガタしている状態、上下の歯の噛み合わせが反対(反対咬合)が改善した例
期間:1年3カ月
治療から完了まで
-
診査・診断(約45分)
お口の中の写真撮影と歯の型取りを行います。
-
使用法の説明(約60分)<約1週間後>
お子さんに合うよう、マウスピースを調整。マウスピースの使い方と口を閉じる筋肉の鍛え方(えがお筋トレーニング)についてご説明します。
-
定期チェック<約1カ月後>
マウスピースが合っているかどうか、歯の位置がどう変化したか、トレーニングが正しくできているか、矯正のチェックをします。
|
「鏡トレーニングはちゃんとできているかな?」
|
「複式呼吸してみて~。スゴいなぁ。
|
「マウスピースはいつ付けるんやったっけ?」
|
こども矯正を成功させるためのお願い
- マウスピースは日中1時間と、寝ている間に毎日必ず装着してください
- マウスピースは口の中の正しい位置に入れてください
- えがお筋トレーニングを1日1回以上行ってください
- マウスピースを装着していないときも口を閉じること、舌を正しい位置に置くことを心がけてください
- 当院で定期的にチェックを受けてください
- 歯や顎を身体によい食生活を心がけてください
料金について
| 診断料 | ¥11,000-(税込) | ||
|---|---|---|---|
| 矯正料 | 全て乳歯 | ¥385,000-(税込) | |
| 前歯生え変わり・6歳臼歯が生える時期 | ¥495,000-(税込) | ||
| 奥歯(3~5番)の生え変わり時期・永久歯FULL | ¥605,000-(税込) | ||
| 処置料 | ※月1回 MFT(筋機能訓練)を含む | ¥5,500-(税込) | |
| 対象年齢 | ※歯や顎の成長具合により多少前後します | 2~14歳 | |
世界的に注目されているマウスピース矯正
マウスピース矯正はオーストラリアの矯正歯科医Dr.ファレルによって、20世紀後半に開発された新しい小児矯正です。マウスピースを用いた矯正治療は世界的に評価されており、歯科矯正先進国のオーストラリアにはマウスピース専門の矯正歯科クリニックがあるほど。現在、アメリカ、イタリア、ブラジル、スウェーデン、ロシア、ニュージーランド、メキシコなど約100ヵ国で取り入れられています。
日本でも徐々に浸透してきており、2012年9月に行われたDr.ファレルのセミナーには、およそ100人の歯科医師が参加。このマウスピース矯正をいち早く導入した医院では、すでに1,400人以上のお子さまの歯並びをマウスピースで改善しています。
大人の矯正
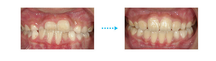
「きれいな歯並びは重要だと思いますか?」という問いに対し、なんと約86%の女性が「YES」との答え。
マウスピース矯正は、あなた専用のマウスピースを作製して装着するだけ。
治療期間:9ヵ月 アライナー:19個
Before
After
治療期間:7ヵ月 アライナー:14個
Before
After
注)アライナーは、正しい使用方法で正しく装着を行わないと効果は得られません。症例はあくまで一例であり効果の程は個人により異なります。
マウスピース矯正
歯の移動量を3次元コンピュータで測定しながら治療計画を立てる、正確かつ画期的な矯正システムです。
※年齢制限はありません。
※治療期間・アライナーの数は、症例により異なります。
-
目立たない
透明なマウスピース型の矯正装置「アライナー」を使用します。
-
取り外しができて衛生的
食事や歯磨きのときはアライナーを取り外すことができ、口腔内の衛生状態を健康に保つことができます。
-
口腔内トラブルが少ない
ワイヤーやブラケットを使用しないため、痛みや不快感がほとんどなく、矯正装置のトラブルも少なくなります。金属アレルギーの心配もありません。
注意点
マウスピース矯正は装置を付けているときのみ矯正力がかかるため、
患者さまの全面的な協力が必要な治療法です。就寝時も含め1日22時間は装着してください。
1日22時間以上使用できない場合には、歯が目的の位置まで移動しないため、治療期間が延長したり、
良い治療結果が得られないことがあります。また、食事のときはアライナーを取り外してください。
ご自身での管理が治療期間や治療結果に影響する矯正装置ですので、
ご理解の上、装置を使っていただくことが大切です。





透明なマウスピース型の矯正装置「アライナー」を使用します。