KODOMO矯正
-
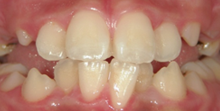
開口(かいこう)
奥歯が噛んだときに上下の前歯がかみ合わないような状態。
奥歯に負担がかかり将来的に歯を失うリスクが高い事が知られています。
永久歯列になってから治療を行う場合、外科手術を伴う事もあります。 -
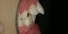
反対咬合(はんたいこうごう)、受け口
下あごが前に出てしまった状態。
顔つきだけでなく、前歯への負担が大きく将来的に歯を失う原因になります。
永久歯列で治療を行う場合、外科手術を伴う事もあります。 -
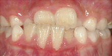
過蓋咬合(かがいこうごう)
上の歯が、下の歯に大きく被さるような深いかみ合わせになっていること。将来的に、
顎関節(アゴ)への負担が大きい為顎関節症を引き起こしやすい事が知られています。 -
上顎前突(じょうがくぜんとつ)
いわゆる「出っ歯」の状態。前歯がかみ合わず、食事や、滑舌に影響したり口が閉じにくい為、
乾燥してむし歯や歯周病になりやすくなります。 -
叢生(そうせい)
顎に歯が並びきらずに、重なって生えたりでこぼこになっている状態。見た目への影響や、
磨き残しが増えてしまう事でむし歯や歯周病になりやすい原因になります。
悪い歯並びになる原因があることを、知っていますか?
最近の研究では、口や顎の周りの筋肉(舌や唇や頬)の使い方が悪くなる事で舌の位置が正しくなかったり、飲み込みを正しい方法で行えなかったりという筋機能不全が起こります。それにより顎の発育が不良になり不正咬合が誘発されると考えられています。いわゆる顔面の発育不全の一つとして、歯に影響がでると考えられます。

- 口が開いている、口呼吸している
少しでも開いていれば、口呼吸によって舌の位置が悪くなり、顎が正しく成長しません。
病原菌が喉の粘膜から直接取り込まれてしまい、むし歯や歯周病、体の健康にも悪影響があります。 - 飲み込む時、唇に力が入っている
舌の筋肉が正しく発達していないと異常な飲み込み方になってしまいます。
飲み込む際、舌で前歯を押したり、唇に異常な力をかけてしか飲み込めなくなります。 - 喋るたび舌が見える、滑舌が悪い
舌の筋肉が正しく発達していないと舌の動かし方にも異常がでてきてしまい結果として発音にも影響がでます。
食事中にくちゃくちゃ音をたてたり、舌が出るのも要注意です。 - 姿勢が悪い(猫背やそり腰である)
姿勢が悪いと、かみ合わせバランスをゆがめてしまい、正しいアゴの発育が出来ません。
また、口周りの筋肉のアンバランスを作ってしまう原因の一つにもなります。
※姿勢が悪いと強く噛みしめてしまったり、首の位置が悪いと、口が開く原因になります。 - いつも舌が歯に触れている、上あごについていない
正しい舌の位置は、上あごにあるスポットという場所についていて、歯には触れていない状態です。
舌がスポットに付いていないと口が開く原因にもなります。
「原因」にアプローチする!最先端の矯正 MRCシステムとは?
不正咬合の原因となる口周りの筋機能不全や口周りの癖(口呼吸や舌癖など)を治療することで、本来子供が持っている正しい発達を促します。
また、呼吸や舌癖(間違った口や舌の使い方)を改善することは歯並びだけでなく健康面においても大きなメリットがあります。
ステップ1:マイオブレイスをつける
①トゥースチャネル・・前歯を整列させます。
②タンタグ・・・舌を積極的に訓練します。
③タンガード・・・舌突出を止めます。
④リップバンパー・・・下あごの活性を抑えます。
⑤翼状ベース・・・顎関節を脱力させます。
マイオブレイスを使用することで正しい舌の位置を覚え、口腔周囲筋の力を整えることで顎が広がりやすい空間を作ります。
ステップ2:1日2分のアクティビティーを行う
口腔筋機能や舌癖を改善するために筋機能訓練(MFT)を行います。
おうちで1日2分のトレーニングを行い1か月に1回、歯医者でチェックを行います。
スムーズに進めば、約2年で筋機能は整います。
原因から改善していき、子どもに本来備わっているいる正しい成長を促すことで歯並びだけでなく、正しい顔の成長にもつながり、自然でいきいきとした笑顔の子どもに育ちます。また姿勢改善にもつながり、見た目や健康にもいい影響を与えます。
※症例はあくまで一例であり、効果の程は個人により異なります。
こんなお悩み、ありませんか?
- ゲームや宿題や食事の時、姿勢が悪い
- 靴のすり減りが早い、左右非対称
- じっと座っていられない
- 頬杖をつくクセがある
- きれいな姿勢で長時間いられない
- 体が左右非対称、ゆがんでいる
- 見てわかる程、猫背・反り腰である
- 片足重心で立っていることが多い
- 小学生なのに、肩こり、頭痛がある
- 椅子に座ると、足を組んでしまう
かんたん「ゆるめる」ストレッチで気持ちよく姿勢改善
KODOMO矯正で行う MRCシステム矯正のゴール
- 鼻呼吸が確立すること
- 喋る時と飲食以外の時は、口が閉じていられること
- 正しい飲み込み方が出来ること
- いつも舌がスポットについていること
- 固定装置がなくてもきれいな歯並びを保てること
KODOMO矯正の一番の目的は、鼻呼吸を獲得し、健康で正常な発達を促す事。
そうすることで、歯並びも整ってくるのです。
KODOMO矯正治療の流れ
-
診査・診断用 資料撮り (45分)
口の写真撮影、模型の型とり、レントゲン撮影を行います。
-
担当医より、カウンセリング (15分)
個別にあった金額や、処置内容の説明を行います。
-
マイオブレイスお渡し(マウスピース)(45分)
矯正開始から終了までの流れや、マイオブレイスの使い方、トレーニングの説明を行います。
-
月1回歯並びと、アクティビティーのチェックに来院(45分)
1日2分間 MRCアプリに添ってお家でトレーニングを行います。
約2年間で筋機能は整います。(個人差はあります。)
開始2年後は、歯並びの状態と、筋機能の状態を見た上でどのように進めるか、再度相談します。
料金について
| 対象年齢 | ※歯や顎の成長具合により、多少前後します。 | 2~14歳まで |
|---|---|---|
| 診断料 | ¥11,000 | |
| 矯正費用 | 全て乳歯 | ¥385,000 |
| 前歯生え変わり・6歳臼歯が生える時期 | ¥495,000 | |
| 奥歯(3~5番)の生え変わり時期・永久歯FULL | ¥605,000 | |
| 処置料 | ※月1回 MFT(筋機能訓練)を含む | ¥5,500 |
※すべて税込価格